
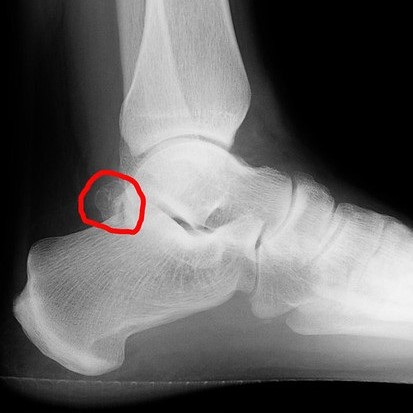
Σύνδρομο Os Trigonum Ο πόνος στο πίσω μέρος του αστραγάλου είναι ένα συχνό σύμπτωμα σε αθλητές, χορευτές αλλά και σε άτομα που καταπονούν συστηματικά τα πόδια τους. Μία από τις λιγότερο γνωστές αλλά σημαντικές αιτίες είναι το Σύνδρομο Os Trigonum. Ας δούμε αναλυτικά τι είναι και πώς αντιμετωπίζεται. Τι είναι το Os Trigonum; Το os…


















